Case Author: Ivan Ruzin
1. Pre-operative View of the Tooth (Image 1)
2. Old Filling and Caries Removal (Image 2)
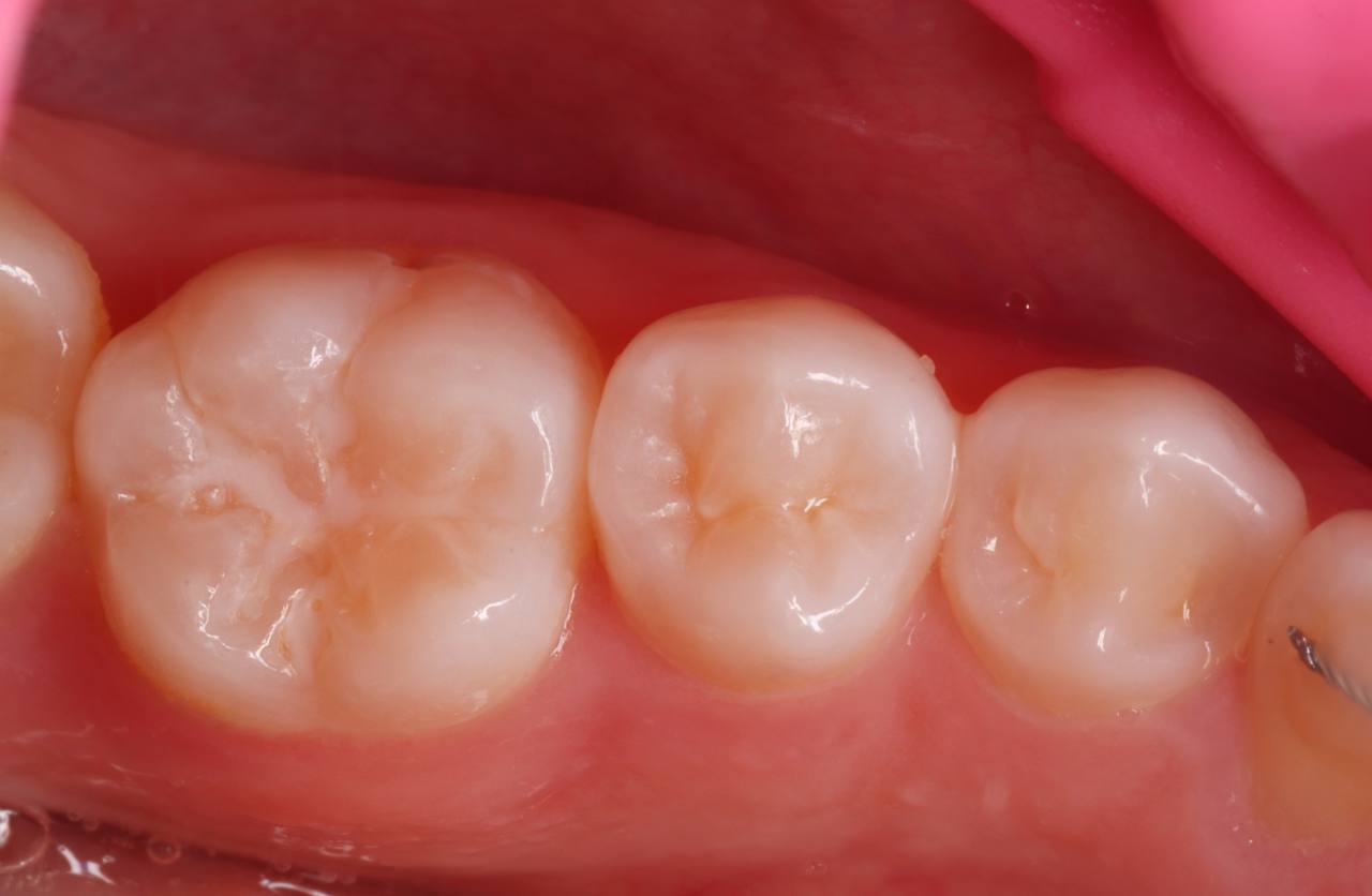
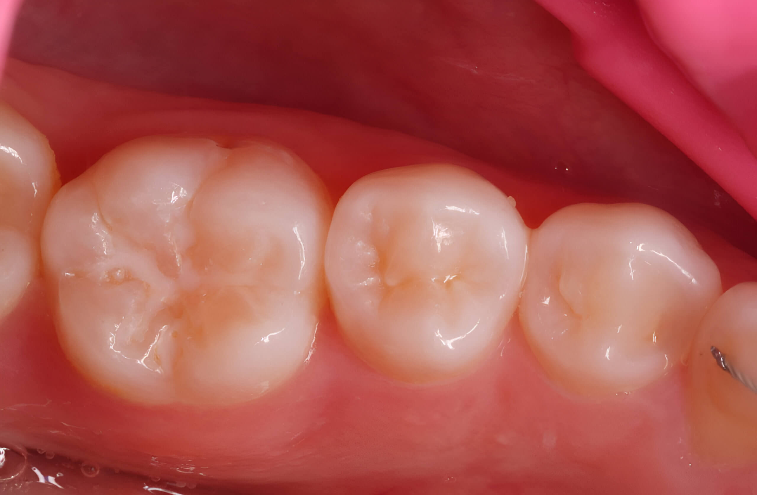
3. Post-operative view of the restoration after contouring. Stain application: BROWN by G-White in the fissure area to mimic pigmented fissures. (Images 3, 4)
4. Oxygen Inhibition Layer Removal (Image 5)
6. Post-Polishing View of the Restoration. Black Ronin Polishing System (Image 6)
