Автор случая: Иван Рузин
1. Вид зуба до лечения (Фото 1)
2. Этап удаления старой пломбы и кариеса.(Фото 2)
3. Вид реставрации после моделирования . Применение красителя: BROWN от G-White в области фиссур для имитации пигментированных фиссур. (Фото 3,4)
4. Этап удаления Кислородом ингибированного слоя (Фото 5)
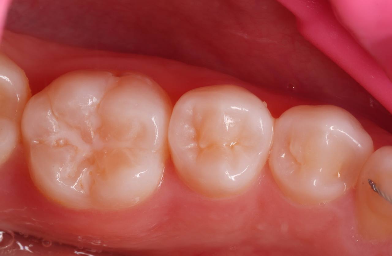
5. Вид реставрации после полировк. Полировочная система Black Ronin (Фото 6)
