Автор случая: Дмитрий Николаев
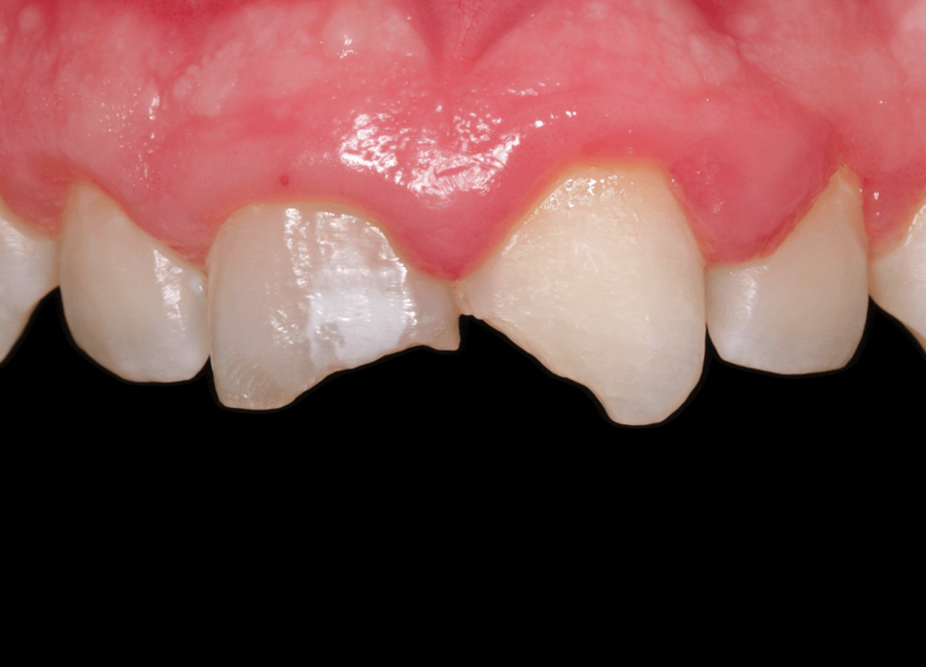
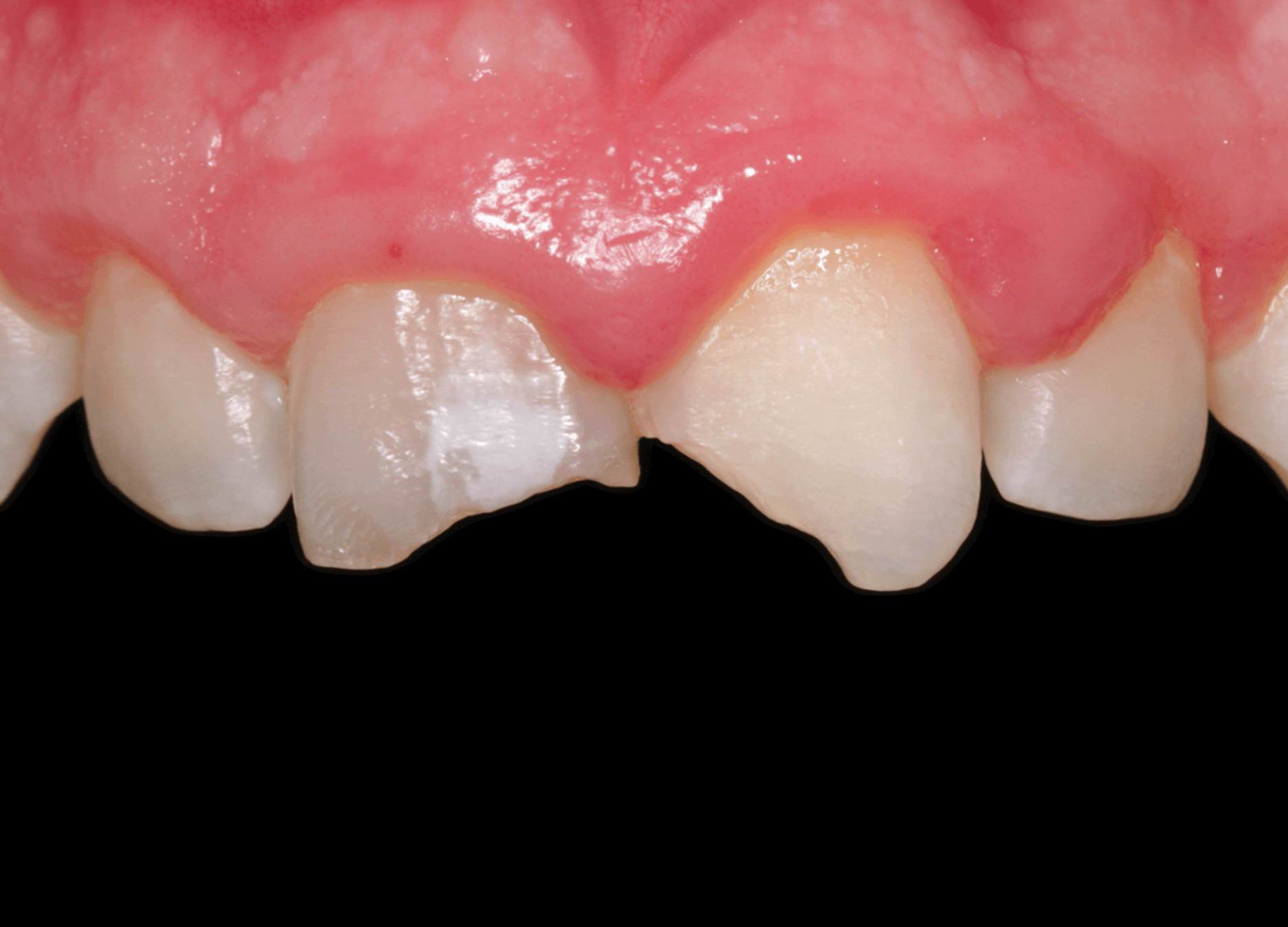
1. Ребенок, перенес травму зубов около 5 лет назад, стоматологическая помощь не была оказана своевременно. (Фото 1)
2. Зуб 11 девитален, апикальный периодонтит с обширной деструкцией костной ткани, зуб 12 витален. (Фото 2,3,4)
3. В первое посещение сформирован эндодонтический доступ, выполнена медикаментозная очистка корневого канала без применения инструментов, временная обтурация препаратом на основе гидроксида кальция сроком на 2 недели. (Фото 5,6)
4. Во второе посещение сформирован апикальный барьей из МТА, просвет корневого канала обтурирован гуттаперчей с эпоксидным силером. (Фото 7-10)
5. Контрольный осмотр через 7 месяцев, восстановление костной ткани, зуб 12 витален. (Фото 11,12,13)
