Автор случая: Дмитрий Николаев
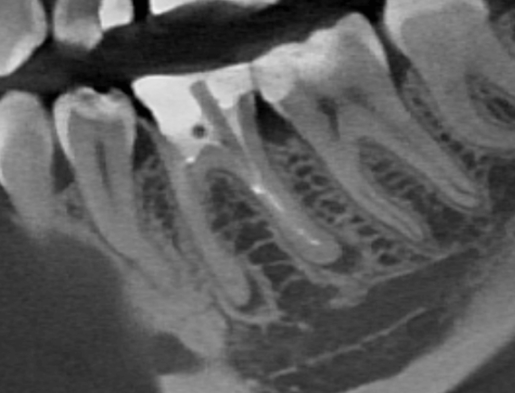
1. Исходная ситуация, зуб 46, апикальный периодонтит, в каналах мезиального корня сломаны два эндодонтических инструмента, устья перерасширены, в дистальном корне - два стекловолоконных штифта установленных в ступень не по оси канала. (Фото 1,2,3)
2. В первое посещение выполнена эндодонтическая ревизия, удалены сломанные инструменты, корневые каналы обработаны и временно обтурированы препаратом на основе гидроксида кальция сроком на 2 недели. (Фото 4)
3. Пациентка нарушила график приемов, повторное обращение в клинику через 10 месяцев после начала лечения: временная пломба сохранена, временный обтурационный материал сохранен в корневых каналах, по КЛКТ отмечается значимое уменьшение очага перирадикулярной деструкции. (Фото 5,6,7)
4. Завершение эндодонтического лечения, корневые каналы обтурированы, зуб восстановлен под ортопедическую конструкцию. (Фото 8)
