Case Author: Dmitry Nikolaev
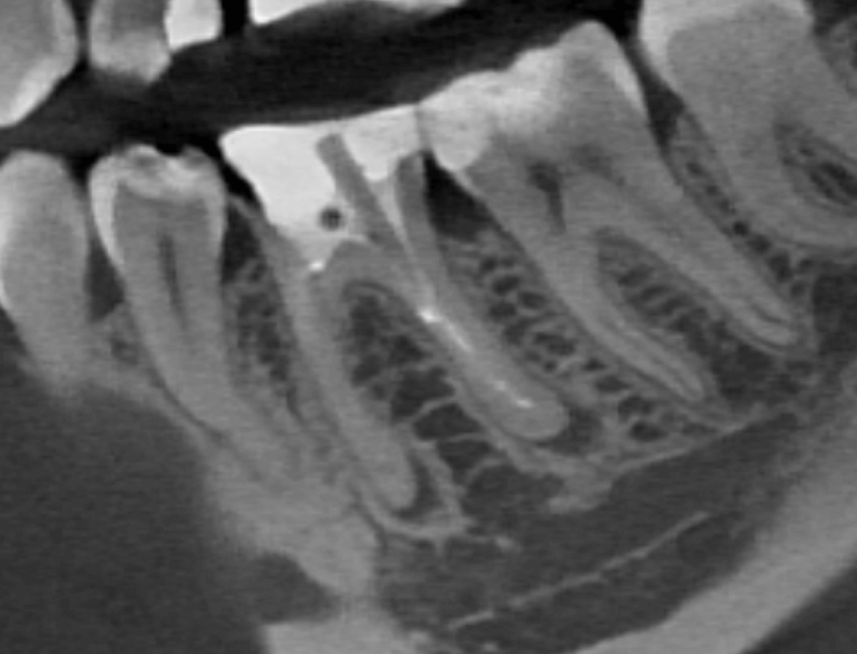
1. The patient presented with tooth #46 (lower right first molar) diagnosed with apical periodontitis, featuring two fractured endodontic instruments in the mesial root canals alongside overprepared canal orifices. Additionally, the distal root contained two misaligned fiber posts that had been cemented non-axially within the canal space, further complicating the endodontic retreatment. (Image 1,2,3)
2. During the initial appointment, endodontic revision was performed, including the successful removal of the fractured instruments from the mesial root canals. The root canal system underwent thorough mechanical and chemical debridement, followed by temporary obturation with a calcium hydroxide-based medication for a two-week period to promote disinfection and periapical healing. (Image 4)
3. The patient returned to the clinic 10 months after initial treatment (non-compliant with schedule), showing preserved temporary filling and intact calcium hydroxide medication in root canals. CBCT imaging demonstrated significant reduction of the periapical lesion, indicating progressive healing despite the extended interim period. (Image 5,6,7)
4. The root canals were definitively obturated using gutta-percha and bioceramic sealer, achieving three-dimensional filling confirmed by radiographic control. The tooth was subsequently prepared for and restored with a prosthetic crown, ensuring both functional and aesthetic rehabilitation. (Image 8)
